 
        
        
      
    
    Before and after dental implants
 
        
        
      
    
    New smiles changing lives
Before and after gallery
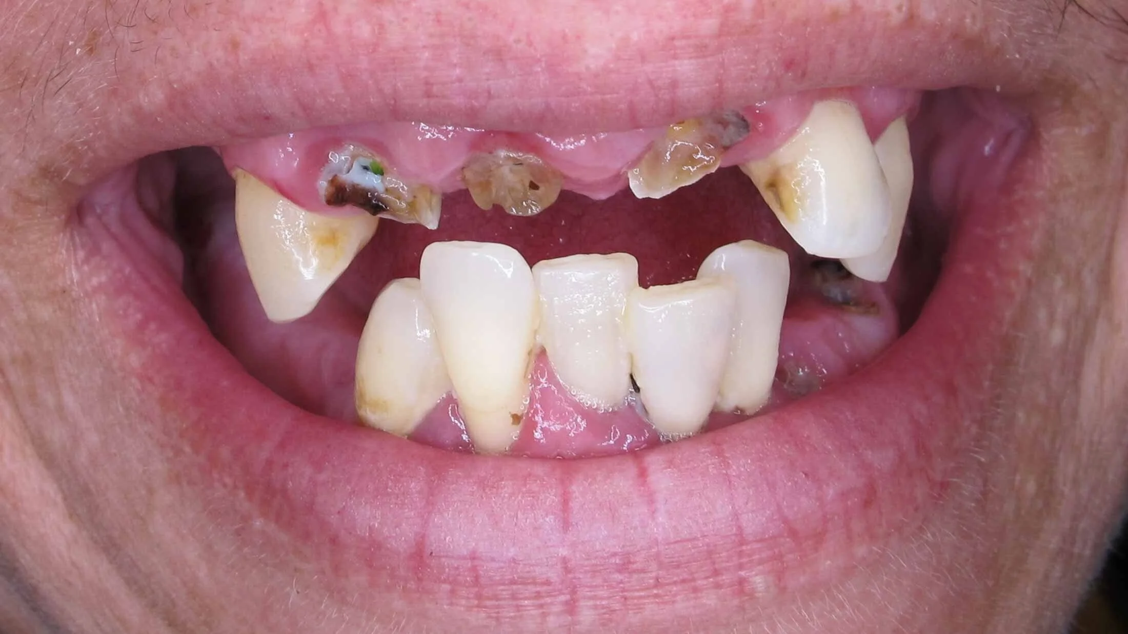
Warning: Graphic imagery shown below.
 
        
        
      
    
    Brian
Before
After
Jennifer
Before
After
Tzeko
Before
After
Christine
Before
After
 
                         
             
             
             
             
             
             
            